PICTUREDESK.COM/SCIENCE PHOTO LIBRARY/ZEPHYR
Am Puls - Gesundheit und Medizin
Parkinson-Fragestunde
Zum Welttag der Stimme: Sorgsamer Umgang mit dem Sprechapparat ++ Tipps für die Bildschirmarbeit ++ Live Am Puls - Sprechstunde: Morbus Parkinson | Gast: Walter Pirker, Neurologe | Moderation: Ronny Tekal | Anrufe 0800 22 69 79 | E-Mail: ampuls@orf.at
16. April 2026, 16:05
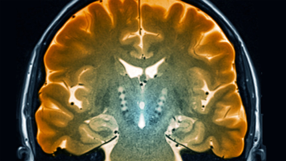
Morbus Parkinson: Nicht nur Zittern
Am 11. April wird jährlich der Welt-Parkinson-Tag begangen, am Geburtstag des britischen Arztes James Parkinson, der vor über 200 Jahren die "Schüttellähmung" erstmals beschrieb: Eine chronisch fortschreitende Hirnerkrankung, bei der Nervenzellen absterben und ein Mangel des Botenstoffes Dopamin Zittern, Muskelsteifheit und Bewegungsverlangsamung verursacht. Eine nüchterne Beschreibung für die weltweit am schnellsten wachsende neurologische Erkrankung, deren vielfältige Symptomatik das Leben der Betroffenen tiefgreifend prägt.
Doch es gibt Hoffnung: Neue Medikamente sind in Entwicklung, die etwa als monoklonale Antikörper direkt in den Krankheitsprozess eingreifen und den Verlauf spürbar verlangsamen sollen. Und bereits jetzt können gerätegestützte Behandlungen, wie Pumpentherapien oder eine tiefe Hirnstimulation die Symptome positiv beeinflussen.
Im Vordergrund steht die Aufrechterhaltung der Selbstständigkeit, so lange wie möglich. Darüber hinaus helfen intensive tägliche Bewegung, Physiotherapie, Ergotherapie und Logopädie - viele Strategien, die von den Patientinnen und Patienten eine dauerhafte Beschäftigung mit der Erkrankung abverlangen.
Ronny Tekal beleuchtet mit seinem Gast die wichtigsten Fragen rund um das Thema Parkinson, vom Unterschied zwischen einem harmlosen Zittern und dem Beginn der Erkrankung über die mannigfaltigen neuen Therapiemethoden bis hin zu den Lebensrealitäten der betroffenen Menschen.
Gast:
Walter Pirker, Facharzt für Neurologie, Leiter der Neurologischen Abteilung und der Spezialambulanz für Morbus Parkinson und Bewegungsstörungen, Klinik Ottakring, Wien
Empfehlenswerte Stimmabgabe
Die menschliche Stimme ist unser täglicher Begleiter, ein Werkzeug, das wir meist mit beinahe selbstverständlicher Sorglosigkeit nutzen. Gerade in einer Zeit, in der klassische Produktionsarbeit weniger wird, steigen die Anforderungen in Berufen, wo kommunikative Kompetenz im Zentrum steht. Ob im Klassenzimmer, auf der Bühne oder im Verkaufsgespräch: Ein stimmlicher Dauereinsatz fordert seinen Tribut. Die funktionelle Dysphonie ist die häufigste Stimmerkrankung, die mit einer Heiserkeit, Räusperzwang oder einer stimmlichen Ermüdung einhergeht - jedoch ohne nachweisbare organische Schäden an Stimmlippen oder Kehlkopf.
Anlässlich des Welttags der Stimme am 16. April, einer Initiative, die 1999 in Brasilien ihren Ursprung nahm und in diesem Jahr unter dem Motto "Caring for Our Voices" steht, wollen auch wir uns ansehen, wie man dieses fragile Instrument schonend behandelt. Helene Keclik hat sich für Am Puls umgehört, auf welche Weise man seine Stimme am besten unterstützen kann.
Interviewpartnerinnen:
Karin Pfaller-Frank, Logopädin, Graz; Ehrenpräsidentin der Österreichischen logopädischen Fachgesellschaft
Barbara Willensdorfer, Schauspielerin, Coach, Sprecherin
...sowie einige wohlvertraute Ö1-Stimmen, die gute Ratschläge zum pfleglichen Umgang mit dem Sprechapparat geben.
Rubrik "Eine Frage noch"
Welche Tipps gibt es für die Arbeit vor Bildschirmen?
Die Antwort kommt von Johanna Stückler, Fachärztin für Arbeitsmedizin,
Abteilungsvorständin
AUVA-Rehabilitationsklinik Tobelbad, Steiermark
Interview: Norbert Peter
Service
Morbus Parkinson:
Österreichische Parkinson-Gesellschaft
Tag der Stimme:
Berufsverband der österreichischen Logopäd_innen
Barbara Willensdorfer
