PR. J.L. KEMENY/SCIENCE PHOTO LIBRARY
Am Puls - Gesundheit und Medizin
Fettleber - Die Leber wächst mit ihren Aufgaben
Meditation gegen Zukunftsangst ++ Männergesundheit im Alter ++ Live Am Puls - Sprechstunde: Fettleber & Co. | Gäste: Bettina Knabl, Diätologin; Mattias Mandorfer, Internist, MedUni Wien | Moderation: Ronny Tekal | Anrufe 0800 22 69 79 | E-Mail: ampuls@orf.at
8. Jänner 2026, 16:05
Frei von der Leber
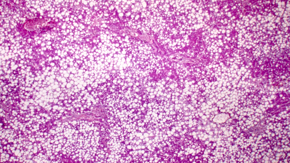
Unsere Leber hat, als zentrales Stoffwechselzentrum des Körpers, eine Menge zu stemmen. Nicht nur Alkohol oder Medikamente, sondern auch eine ungesunde Ernährung können das Organ rasch mal an seine Grenzen bringen. Es kommt zu einer Einlagerung von Fett in den Leberzellen und damit zu einer Vergrößerung; die Leber wächst demnach mit ihren Aufgaben (O-Ton: Eckart von Hirschhausen, deutscher Arzt und Kabarettist). Die Fettleber (Steatosis hepatis) gilt als erste Stufe eines krankhaften Umbaus und verläuft oft symptomlos. Bei jeder fünften erwachsenen Person lässt sich hierzulande im Ultraschall eine derartige metabolische Fettleber (MASLD, metabolically associated steatotic liver disease) diagnostizieren. Eine Volkskrankheit also, die den Leberexpertinnen und -experten Sorge bereitet, gilt sie doch als Vorläufer für eine Leberentzündung (MASH), eine Zirrhose oder Leberkrebs.
Die gute Nachricht: Die Leber behält über lange Zeit ihre Fähigkeit zur Regeneration. Sind noch keine Vernarbungen aufgetreten, lässt sich der Zustand rückgängig machen: Gewichtsabnahme, Bewegung und gesunde Ernährung, aber auch die modernen GLP-1-Rezeptoragonisten ("Abnehmspritze") sollen einen positiven Effekt haben.
Ronny Tekal klärt mit seinen Gästen, wie man die Leber, nach dem Stresstest über die Weihnachtsfeiertage, wieder fit bekommt, damit sie ihren Kernaufgaben - Verdauung, Stoffwechsel, Entgiftung - wieder nachkommt.
Gäste im Studio:
Mattias Mandorfer, Facharzt für Innere Medizin, Universitätsklinik für Innere Medizin III, Klinische Abteilung für Gastroenterologie und Hepatologie, Leiter des Vienna Hepatic Hemodynamic Lab, MedUni Wien
Bettina Knabl, Diätologin mit Spezialgebiet Leber- und Stoffwechselerkrankungen
Meditation gegen Zukunftsangst
Laut aktueller 54. Neujahrsmessung des Meinungsforschungsinstituts IMAS blicken in Österreich mehr als 60 Prozent der Befragten mit Sorge oder zumindest mit Skepsis in die Zukunft. Bereits seit mehreren Jahren ist die Stimmung im Land, krisenbedingt, nicht die beste. Der Allgemeinmediziner Wolf-Dieter Nagl beschreibt in seinem 2025 erschienenen Buch "Befreie deinen Geist", wie man Sorgenfalten und die Angst vor dem Morgen durch die Kraft der Meditation gering hält: "Die Zukunft, die gibt es nie und die wird es auch nie geben, die existiert nur in unserem Kopf. Das Einzige, was wirklich existiert, ist dieser Moment im Hier und Jetzt." Norbert Peter hat sich angesehen, auf welche Weise mentales Training das quälende Gedankenkarussell stoppen kann - für rosigere Aussichten auf das neue Jahr.
Interviewpartner:
Wolf-Dieter Nagl, Arzt für Allgemeinmedizin, Experte für psychosomatische Erkrankungen und medizinische Hypnosetherapie
Rubrik "Eine Frage noch"
Männergesundheit: Welche Vorsorgemaßnahmen sind vor allem für ältere Männer wichtig?
Die Antwort kommt von der Urologin Heidemarie Ofner, MedUni Wien
Ein Beitrag von Sonja Watzka
Service
Buch:
Wolf-Dieter Nagl
Befreie deinen Geist
Kneipp Verlag 2025
